The concept of vulnerable plaque – how we integrate it in the new risk stratification paradigm of the acute coronary event and what is the role of the coronary CT examination
According to the WHO (World Health Organization), cardiovascular diseases continue to represent the major cause of morbidity among the population of developed countries, and acute myocardial infarction (MI) due to coronary disease remain the most important cause of mortality.
Despite the development of anti-atherosclerotic therapies, the incidence of acute coronary events remains high. This is a fact that claim the need for improvement and refinement of strategies to reduce cardiovascular risk, perfecting the methods of early diagnosis of the coronary atherosclerotic disease and individualizing the preventive therapies.
CT angiography is, at this moment, an signifiant part of the coronary atherosclerotic disease diagnostic algoritm and an important tool to guide cardio-vascular prevention.
Conform WHO (World Health Organisation) bolile cardio-vasculare continua sa reprezinte cauza majora de morbiditate in randul populatiei tarilor dezvoltate iar infarctul miocardic (IM) acut prin boala coronariana ramane cea mai frecventa cauza de mortalitate.
Atheroscleroza, principalul mecanism patofiziologic implicat în apariția și evoluția bolii cardio-vasculare (CV), este un proces multifocal sistemic care începe, de multe ori, la vârste tinere și are o fază lungă de repaus înainte de apariția manifestărilor clinice.
În ciuda dezvoltării terapiilor anti-aterosclerotice, incidența evenimentului coronarian acut ramâne ridicată. De aici, nevoia de perfecționare a strategiilor de reducere a riscului cardio-vascular. În acest context, este evident interesul major de a rafina și a desăvârși metodele de diagnostic precoce și de a individualiza terapiile preventive.
Sindromul coronarian acut (SCA) poate fi prima manifestare a bolii coronariene (CAD). Înţelegerea mecanismelor responsabile de apariția SCA, respectiv a infarctului miocardic, a evoluat progresiv în ultimii 30 de ani.
Inițial, relevanța în apariția infarctului de miocard a fost atribuită stenozei coronariene semnificative, iar plăcile de aterom calcificate au fost considerate ca fiind principala expresie a bolii aterosclerotice.
Dovezile, până în prezent, indică faptul că factorii de risc tradiționali singuri nu reușesc să stratifice cu acuratețe indivizii asimptomatici, care sunt încadrabili în categoria de risc ridicat pentru evenimente de boală cardiovasculară aterosclerotică.
Saltul tehnologic din imagistica non-invazivă cardiacă oferă oportunități de detecție în stadiul latent, subclinic, al ateromatozei coronariene.
Evidențierea și mai ales gradul de încărcare al arterelor coronare cu placi de aterom deja calcificate, oferă informații directe asupra prezenței și extinderii bolii coronariene, iar modalitatea neinvazivă de a depista existența și distribuția calcificărilor coronariene este Tomografia Computerizata (CT) cu protocol dedicat cuantificării scorul coronarian de calciu (CAC).
Detectarea directă a CAC prin CT a fost efectuată pentru prima dată în anii ’80, cu sisteme ce utilizau fascicul de electroni (Electron Beam CT scanning) iar ulterior, începând cu anii ’90, cu ajutorul sistemelor cu rezoluție spațială mai înaltă, de tipul celor multidetector, multislice cu achiziție spirală.
Studii extinse au validat scorul CAC ca fiind un bun predictor al riscului absolut de evenimente coronariene pe durata de 10 ani, la indivizii asimptomatici cu risc intermediar.
Marea majoritate a ghidurilor de practică publicate de către societățile de cardiologie includ scorul CAC ca factor de evaluare și predicție a riscului cardio-vascular, dincolo de factorii tradiționali de risc (sindromul metabolic, dislipidemia, HTA, fumatul, obezitatea, sedentarismul).
Ghidul 2018 al ACC (Colegiul American de Cardiologie)/AHA (Asociația Americană a Inimii) recomandă ca scorul CAC să fie luat în considerare la indivizii selectați, care sunt la un risc intermediar de 10 ani (Clasa de recomandare 2a).
Ghidul 2021 ESC (Societatea Europeană de Cardiologie)/EAS (Societatea Europeană de Ateroscleroză) pentru managementul colesterolului afirmă că scorul CAC poate fi indicat pentru a îmbunătăți clasificarea riscului (Clasa de Recomandare IIb, Nivel de Evidență: B).
Orientările ACC/AHA și ESC/EAS împărtășesc strategii similare pentru evaluarea riscului folosind factori de risc tradiționali, dar diferă în ceea ce privește modul în care selectează persoanele ce ar putea beneficia de o scanare pentru cuantificarea CAC, precum și modul în care aplică scorul CAC pentru o rafinare suplimentară a riscului.
Astfel, ghidul ACC/AHA oferă valori specifice scorului CAC pentru a ghida reclasificarea riscului de boală cardio-vasculară, în timp ce ghidurile ESC/EAS, nu. În mod similar, ghidul ACC/AHA oferă mai multe îndrumări atunci când definește cine poate beneficia de reclasificarea riscului cu scorul CAC, în timp ce ghidul ESC/EAS doar recunoaște că scorul poate reclasifica riscul cardio-vascular în sus și în jos la indivizi în jurul pragurilor de decizie de tratament.
Cu toate diferențele de viziune, este unanim acceptată utilitatea stabilirii scorului CAC prin tomografie computerizată ca biomarker individual în algoritmul de rafinare a stratificării riscului cardio-vascular.
Important, un scor CAC de zero a fost asociat cu un risc extrem de scăzut de evenimente CV adverse viitoare, pe o perioadă estimată la 10 ani, dar nu „fără risc” și nu substituindu-se judecății clinice.
Pe de altă parte, este bine-cunoscut faptul că prezența calcificărilor reprezintă o manifestare a aterosclerozei coronariene avansate și nu a celei de debut . Astfel, persistă incertitudini privind aplicarea optimă a scorului CAC pentru prevenția primară a bolii cardio-vasculare.
În prezent, două trial-uri sunt în desfășurare pentru a evalua eficacitatea CAC în prevenția bolii cardio-vasculare aterosclerotice și anume: cel olandez ROBINSCA (Risk or Benefit in Screening for Cardiovascular disease) și trial-ul American CorCal (Effectiveness of a Proactive Cardiovascular Primary Prevention Strategy, With or Without the Use of Coronary Calcium Screening, in Preventing Future Major Adverse Cardiac Events).
Este de așteptat ca rezultatele acestor studii să ofere dovezile atât de necesare cu privire la utilitatea CAC pentru evaluarea riscului la indivizii asimptomatici, comparativ cu strategiile de prevenție primară predominant bazate pe factori de risc tradiționali.

În ceea ce privește elementul trigger, s-a conturat ideea lipsei unei corelații directe între prezența calcificărilor, stenoza coronariană semnificativă și declanșarea evenimentului coronarian advers major (MACE).
Inițial, angiografia coronariană și ulterior ecografia endovasculară (IVUS) împreună cu studiile histopatologice au reprezentat modalități disponibile pentru a studia relația dintre boala aterosclerotică coronariană și sindromul coronarian acut și au permis trei observații de o importanță deosebită:
■ progresia plăcii de aterom este însoțită de augmentarea compensatorie a ariei secțiunii transversale a vasului și nu asociază îngustarea relevantă a lumenului decât în condițiile în care placa depășește 40% din aria de secțiune a arterei. Cu alte cuvinte, chiar și o placă voluminoasă poate determina doar o îngustare lumenală ușoară datorită remodelării peretelui vascular, iar stenozele nesemnificative pot ascunde plăci de aterom voluminoase.
■ ocluziile coronariene trombotice induc leziuni ischemice mai frecvent în absența stenozelor coronariene semnificative și se datorează complicării plăcilor subsecvente voluminoase, necalcificate.
■ în cele din urmă, studiile patologice au demonstrat cauzele subiacente obstrucției coronariene acute: ruptura, fragmentarea și embolizarea plăcii de aterom, eroziunea plăcii complicată cu tromboză, aspecte semnificativ mai frecvente decât progresia calcificărilor din structura plăcii și stenoza severă a lumenului vascular.
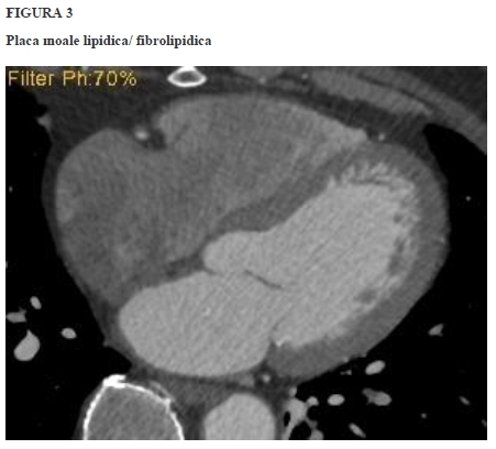
Sub acest auspiciu, conceptul de „placa vulnerabilă” a devenit relevant. Au fost identificate 4 prototipuri morfo-histologice asociate riscului înalt de declanșare a MACE. Plăcile aterosclerotice coronariene susceptibile la ruptură au morfologie distinctă, în comparație cu cele stabile. În linii mari, cele patru morfotipuri, stabilite ca atare prin corelație cu IVUS și cu aspectul histo-patologic, sunt descrise ca și:
■ placă voluminoasă cu structura predominant lipidică, localizată la limita intimă-medie a arterei, fără îngustare semnificativă a lumenului subiacent; asociază sau nu „dilatarea” arterei prin remodelarea pozitivă a peretelui,
■ depozit cu structură moale, predominant lipidică, dar delimitat prin lizereu („capișon”) fibros,
■ placă degradată în porțiunea centrală prin hemoragie/necroză (napkin-ring sign),
■ microcalcificări (spotty calcification) în placa lipidică/ fibrolipidică.
În cazul plăcilor vulnerabile, riscul de MACE nu se corelează fidel cu gradul stenozei, ci cu predispoziția la eroziune, ruptură, tromboză. De aici importanța identificării precoce a plăcii cu risc, iar singura metodă imagistică neinvazivă relevantă în evidențierea, caracterizarea și încadrarea morfo-structurală a plăcii vulnerabile este considerată, în prezent, angio-coronarografia CT.
O serie de studii clinice au definit și întărit conceptul de placă vulnerabilă cu risc înalt de a se complica, arătând, spre exemplu,
că leziunile non-obstructive diagnosticate prin angio-CT coronarian au avut relevanţă prognostică şi că prezenţa depozitelor aterosclerotice pe mai mult de 5 segmente a fost asociată cu o supraviețuire redusă în perioada de urmărire.
În 2009, un grup japonez a stabilit conceptul de „placă vulnerabilă’’ cu caracteristici morfologice particulare la examinarea CT. Motoyama et al. (9) a definit remodelarea pozitivă și a prezentat densitățile CT <30 unități Hounsfield în placă ca și caracteristică a semiologiei plăcii vulnerabile. Cuprinzând în studiu o cohortă de 1.059 pacienți, a arătat că atât prezența remodelării pozitive precum și a densității CT scăzute în structura plăcii, în special atunci când cele două aspecte semiologice sunt asociate, ridică semnificativ probabilitatea de MACE.
În acelasi timp, studiul SCOT Heart (Scottish Computed Tomografia inimii) randomizat pe 4.146 de pacienți supuși unui test de angiografie CT a cordului, a arătat că absența versus prezența plăcii vulnerabile se corelează cu un risc de 1,4% versus 4,1% pentru infarct miocardic acut, sau deces de cauză cardiacă într-o perioadă de 5 ani . Studiul concluzionează faptul că, utilizarea angio-CT în asociere cu îngrijirea standard, are ca rezultat o reducere importantă a decesului prin boală coronariană și a infarctului miocardic non-letal. Este primul studiu de anvergură care a demonstrat în mod definitiv un astfel de beneficiu al metodei. În cele din urmă, diagnosticul precoce, cuplat cu tratamentul personalizat al bolii coronariene non-obstructive, explică efectele benefice ale angio-CT coronariene în prevenție.
Astfel, angiografia CT coronariană (CCTA), recunoscută inițial ca tehnică imagistică utilă doar în excluderea bolii aterosclerotice coronariene, avand o valoare predictivă negativă excelentă, a câștigat rapid o largă acceptare și recunoastere prin noi valențe, cum este cea de caracterizare a structurii placii de aterom și identificare a plăcii cu risc pentru MACE.
Tehnologia actuală de vârf a dezvoltat scannere cu detector larg și cu rezoluție temporală semnificativ îmbunătățită, ce permit examinarea cordului pe parcursul unui singur ciclu cardiac, scăzând dependența de bradicardizare a ritmulului cardiac.
În același timp, prin modalități diverse de reducere semnificativă a dozei de iradiere, examinarea angio-CT devine o metodă extrem de competitivă în raport cu celelalte modalități de diagnostic imagistic.
Spre exemplificare, iată câteva imagini de coronarografie CT, în care sunt prezentate morfotopurile de plăci de aterom vulnerabile.







Deși angiocoronarografia invazivă rămâne metoda gold-standard de clasificare a stenozei coronariene, este evident faptul că imagistica prin angio-CT a arterelor coronare, nefiind restricționată la evaluarea de tip luminografie, respectiv nefiind limitată la diagnoza și cuantificarea stenozei coronariene, oferă informații suplimentare definitorii pentru încadrarea bolii aterosclerotice coronariene, cu relevanță majoră în evidențierea criteriilor de vulnerabilitate ale plăcii de aterom.
Odată cu acumularea dovezilor privind semnificația prognostică a plăcii vulnerabile nonobstructive, putem vorbi despre o schimbare de paradigmă în abordarea conceptului de prevenție, prin conștientizarea importanței de a crește nivelul depistării precoce a plăcii cu risc ca parte a prevenției primare, pe lângă abordarea tradițională de prevenție, secundară, orientată spre diagnosticul și tratarea prin metode intervenționale/ chirurgicale a stenozei coronariene semnificative.
Interesant, totuși, după emoția inițială asociată acestor observații și speranțele legate de beneficiile evocării elementelor structurale de risc ale placii în raport cu severitatea stenozei în declansarea MACE, o serie de studii mari de cohortă, deși confirmă corelarea plăcii vulnerabile cu evenimente ischemice viitoare, atrag în același timp atenția asupra faptului că, marea majoritate a pacienților cu leziuni cu risc ridicat detectate imagistic nu vor suferi un eveniment coronarian acut.
Sintetizând, existența plăcii vulnerabile nu indică neapărat o vulnerabilitate a pacientului.
Cu alte cuvinte, deși majoritatea MACE sunt asociate complicațiilor survenite la nivelul plăcilor cu risc, nerelevant stenozante, statistic, riscul ca o stenoză coronariană înaltă să determine SCA este superior celui asociat unei singure stenoze nesemnificative.
PROMISE (Prospective Multicenter Imaging Study for Evaluation of Chest Pain), ce cuprinde cohorta de 10.004 pacienți cu suspiciune de boală coronariană, dintre care 4.415 au fost randomizați pentru a fi supuși coronarografiei CT și a putea fi analizată prezența plăcilor coronariene cu risc, a demonstrat că 94% dintre pacienții ce au documentat plăci vulnerabile nu au experimentat evenimentul coronarian în perioada de urmărire (25 de luni).
În acest context se cristalizează ideea că, stratificarea riscului presupune atât identificarea și caracterizarea structurală a plăcii (cu individualizarea criteriilor de vulnerabilitate), precum și cuantificarea încărcării aterosclerotice a arterelor, distribuția modificărilor aterosclerotice și gradul de stenoză lumenală.
În același timp, studii angiografice în serie și studii de angiografie CT coronariană au arătat că leziunile cu progresie rapidă a gradului de stenoză prezintă risc semnificativ mai mare pentru evenimente coronariene acute viitoare. Prin urmare, gradul de stenoză nu este irelevant și cu toate că placa vulnerabilă neobstructivă identificată la examinarea CT este predictivă pentru evenimente viitoare, leziunile obstructive plurivasculare au o valoare predictivă mai mare.
În al doilea rând, studiile clinice care utilizează rezerva fracțională de flux (FFR), pentru a evalua leziunile coronariene (cum ar fi FAME-2), au arătat că revascularizarea leziunilor cu flux relevant redus reduce evenimentele din aval.
Prin urmare, reducerea fluxului sanguin pare să joace un rol în progresia spre ruptură a placii. De fapt, criteriile morfologice de vulnerabilitate a plăcii de aterom par a fi legate de reducerea fluxului.
Park și colab. au arătat pe un grup de 252 de pacienți că, prezența caracteristicilor plăcii cu risc ridicat la imagistica angio-CT
a fost mai predictivă pentru leziuni specifice ischemiei măsurate prin rezerva de flux fracționată invazivă decât gradul de stenoză.
Date suplimentare au fost furnizate de Lee et al., care au comparat 66 de leziuni, la pacienții care au efectuat CCTA și ulterior au dezvoltat sindroame coronariene acute, cu 150 de leziuni la pacienți fără evenimente. Au investigat volumele plăcilor, morfologia și compoziția acestora (în limita capacităților imagisticii CT), au simulat fluxul coronarian și presiunea la nivelul peretelui vascular constatând faptul că, gradientul presional de la nivelul leziunii aterosclerotice a furnizat cea mai mare cantitate de informații cu privire la riscul de ruptură a plăcii, urmată de efortul de forfecare a peretelui (wall shear stress) și apoi gradul de stenoză.
Ca urmare, se conturează substratul multifactorial al evenimentului coronarian acut, în care caracteristicile morfologice de vulnerabilitate a plăcii de aterom acţionează mai degrabă ca markeri indirecți ai riscului, în realitate fiind mediate prin fluxul sanguin local, în special prin gradienții de presiune la care contribuie și gradul de stenoză.
CONCLUZII
Incidența afectării aterosclerotice a arterelor coronare rămâne ridicată, în ciuda preocupării active pentru prevenția primară și a dezvoltării terapiilor anti-aterosclerotice. Sindromul coronarian acut poate fi prima manifestare a bolii coronariene.
Rafinarea metodelor de stratificare a riscului cardio-vascular devine strategică pentru prevenția evenimentului coronarian, iar coronarografia prin tomografie computerizată are un rol cheie în diagnoza plăcii vulnerabile.
Scorul coronarian de calciu rămâne instrument util în algoritmul de rafinare a riscului, mai ales la indivizi selectați, în primul rând la cei cu risc intermediar, dar persistă incertitudini privind aplicarea optimă a scorului CAC pentru prevenția primară a bolii cardio-vasculare.
Coronarografia CT este recunoscută ca singura metodă imagistică ce întrunește capabilități de evaluare calitativă dar și cantitativă a modificărilor aterosclerotice coronariene, prin capacitatea de a realiza, în același timp, o evaluare a gradului de încărcare aterosclerotică a întregului pat coronarian, o cuantificare a stenozelor coronariene și o caracterizare structurală a placii de aterom.
Totusi, trebuie menționat încă odată, placa vulnerabilă nu echivalează cu pacientul vulnerabil.
Criteriile de stratificare a riscului sunt într-o continuă dinamică, iar odata cu progresul tehnologiei se conturează o nouă paradigmă, în care parametrii de flux , presiunea și forțele de forfecare de la nivelul peretelui vascular completează și potențează criteriile morfologice și de structură ale plăcii de aterom si gradul de stenoză lumenală în clasificarea riscului de eveniment coronarian acut.
BIBLIOGRAFIE
- C. Brown, T.E. Gerhardt, E. Kwon , Risk factors for coronary artery disease StatPearls. Treasure Island (FL), StatPearls Publishing (Updated August 17, 2023) https://www.ncbi.nlm.nih.gov/books/NBK564304/, Accessed 18th Jan 2024
- K. Min, L.J. Shaw, R.B. Devereux, et al. Prognostic value of multidetector coronary computed tomographic angiography for prediction of all-cause mortality J Am Coll Cardiol, 50 (12) (2007), pp. 1161-1170, JACC.2007.03.067
- M.C. Williams, J. Kwiecinski, M. Doris, et al.Low-attenuation noncalcified plaque on coronary computed tomography angiography predicts myocardial infarction: results from the multicenter Scot-HEART trial (Scottish computed tomography of the HEART) Circulation, 141 (18) (2020), pp. 1452-1462,
- M. Ferencik, T. Mayrhofer, D.O. Bittner, et al. Use of high-risk coronary atherosclerotic plaque detection for risk stratification of patients with stable chest pain: a secondary analysis of the PROMISE randomized clinical trial JAMA Cardiol, 3 (2) (2018), pp. 144-152,
- G. Feuchtner, J. Kerber, P. Burghard, et al. The high-risk criteria low-attenuation plaque <60 HU and the napkin-ring sign are the most powerful predictors of MACE: a long-term follow-up study Eur Heart J Cardiovasc Imaging, 18 (7) (2017), pp. 772-779,
- P. Rajiah, K.W. Cummings, E. Williamson, P.M. Young CT Fractional flow reserve: a practical guide to application, interpretation, and problem solving Radiographics, 42 (2) (2022), pp. 340-358, 10.1148/rg.210097
- Committee Members Writing, M. Gulati, P.D. Levy, et al.2021 AHA/ACC/ASE/CHEST/SAEM/SCCT/SCMR guideline for the evaluation and diagnosis of chest pain: a report of the American College of Cardiology/American Heart Association joint committee on clinical practice guidelines J Am Coll Cardiol, 78 (22) (2021), pp. e187-e285, 10.1016/j.jacc.2021.07.053
- Investigators SCOT-HEART, D.E. Newby, P.D. Adamson, et al. Coronary CT angiography and 5-year risk of myocardial infarction N Engl J Med, 379 (10) (2018), pp. 924-933, 10.1056/NEJMoa1805971
- L.H. Nielsen, H.E. Bøtker, H.T. Sørensen,
- J.K. Min, A. Dunning, F.Y. Lin, et al. Age- and sex-related differences in all-cause mortality risk based on coronary computed tomography angiography findings results from the International Multicenter CONFIRM (Coronary CT Angiography Evaluation for Clinical Outcomes: an International Multicenter Registry) of 23,854 patients without known coronary artery disease J Am Coll Cardiol, 58 (8) (2011), pp. 849-860, 10.1016/j.jacc.2011.02.074
- T.M. Maddox, M.A. Stanislawski, G.K. Grunwald, et al. Nonobstructive coronary artery disease and risk of myocardial infarction JAMA, 312 (17) (2014), pp. 1754-1763, 10.1001/jama.2014.14681
- L.J. Shaw, R. Blankstein, J.J. Bax,
- T.C. Villines, E.A. Hulten, L.J. Shaw, et al.Prevalence and severity of coronary artery disease and adverse events among symptomatic patients with coronary artery calcification scores of zero undergoing coronary computed tomography angiography: results from the CONFIRM (Coronary CT Angiography Evaluation for Clinical Outcomes: an International Multicenter) registry J Am Coll Cardiol, 58 (24) (2011), pp. 2533-2540,
- R.C. Cury, J. Leipsic, S. Abbara, et al.CAD-RADS™ 2.0-2022 coronary artery disease-reporting and data system: an expert consensus document of the Society of Cardiovascular Computed Tomography (SCCT), the American College of Cardiology (ACC), the American College of Radiology (ACR), and the North America Society of Cardiovascular Imaging (NASCI) J Cardiovasc Comput Tomogr, 16 (6) (2022), pp. 536-557, 10.1016/j.jcct.2022.07.002
- D. Andreini, G. Pontone, S. Mushtaq, et al.A long-term prognostic value of coronary CT angiography in suspected coronary artery disease JACC Cardiovasc Imaging, 5 (7) (2012), pp. 690-701, 10.1016/j.jcmg.2012.03.009
- F.Y. Lin, L.J. Shaw, A.M. Dunning, et al Mortality risk in symptomatic patients with nonobstructive coronary artery disease: a prospective 2-center study of 2,583 patients undergoing 64-detector row coronary computed tomographic angiography J Am Coll Cardiol, 58 (5) (2011), pp. 510-519, 10.1016/j.jacc.2010.11.078
- M.S. Bittencourt, E. Hulten, B. Ghoshhajra, et al. Prognostic value of nonobstructive and obstructive coronary artery disease detected by coronary computed tomography angiography to identify cardiovascular events Circ Cardiovasc Imaging, 7 (2) (2014), pp. 282-291,
- M.J. Boogers, A. Broersen, J.E. van Velzen, et al.Automated quantification of coronary plaque with computed tomography: comparison with intravascular ultrasound using a dedicated registration algorithm for fusion-based quantification Eur Heart J, 33 (8) (2012), pp. 1007-1016,
- D. Han, S. Torii, K. Yahagi, et al. Quantitative measurement of lipid rich plaque by coronary computed tomography angiography: a correlation of histology in sudden cardiac death Atherosclerosis, 275 (2018), pp. 426-433,
- Y.F. Liu, Y.H. Ma, C.Y. Wang, et al.A comparison of computed tomography imaging with histopathology in the sensitivity and correlation of evaluating coronary arterial calcification Quant Imaging Med Surg, 13 (4) (2023), pp. 2426-2440,
- S. Fujimoto, T. Kondo, T. Kodama, et al. A novel method for non-invasive plaque morphology analysis by coronary computed tomography angiography Int J Cardiovasc Imaging, 30 (7) (2014),
- R. Nakazato, H. Otake, A. Konishi, et al.Atherosclerotic plaque characterization by CT angiography for identification of high-risk coronary artery lesions a comparison to optical coherence tomography Eur Heart J Cardiovasc Imaging, 16 (4) (2015), pp. 373-379,
- H. Seifarth, C.L. Schlett, M. Nakano, et al.Histopathological correlates of the napkin-ring sign plaque in coronary CT angiography Atherosclerosis, 224 (1) (2012), pp. 90 96, 10.1016/j.atherosclerosis.2012.06.021
- S.E. Lee, J.M. Sung, A. Rizvi, et al.Quantification of coronary atherosclerosis in the assessment of coronary artery disease Circ Cardiovasc Imaging, 11 (7) (2018),
- M.O. Versteylen, B.L. Kietselaer, P.C. Dagnelie, et al.Additive value of semiautomated quantification of coronary artery disease using cardiac computed tomographic angiography to predict future acute coronary syndrome J Am Coll Cardiol, 61 (22) (2013), pp. 2296-2305,
- J. Nadjiri, J. Hausleiter, C. Jähnichen, et al.Incremental prognostic value of quantitative plaque assessment in coronary CT angiography during 5 years of follow up J Cardiovasc Comput Tomogr, 10 (2) (2016), pp. 97-104, 10.1016/j.jcct.2016.01.007
- M.C. de Knegt, J.J. Linde, A. Fuchs, et al.Relationship between patient presentation and morphology of coronary atherosclerosis by quantitative multidetector computed tomography Eur Heart J Cardiovasc Imaging, 20 (11) (2019), pp. 1221-1230,
- M.H. Criqui, J.O. Denenberg, J.H. Ix, et al.Calcium density of coronary artery plaque and risk of incident cardiovascular events JAMA, 311 (3) (2014), pp. 271-278, 10.1001/jama.2013.282535
- A.R. van Rosendael, J. Narula, F.Y. Lin, et al.Association of high-density calcified 1K plaque with risk of acute coronary syndrome J AMA Cardiol, 5 (3) (2020), pp. 282-290,
- J. Dundas, J. Leipsic, T. Fairbairn, et al. Interaction of AI-enabled quantitative coronary plaque volumes on coronary CT angiography, FFRCT, and clinical outcomes: a retrospective analysis of the ADVANCE registry Circ Cardiovasc Imaging, 17 (3) (2024),
- E.S.J. Kröner, J.E. van Velzen, M.J. Boogers,
- Sadako Moyatoma et all, Computed Tomographic Angiography Characteristics of Atherosclerotic Plaques Subsequently Resulting in Acute Coronary Syndrome, Journal off the American College pf Cardiology,
- Achenbach, D. Ropers, U. Hoffmann,
- S. Motoyama, T. Kondo, H. Anno, et al. Atherosclerotic plaque characterization by 0.5-mm-slice multislice computed tomographic imaging Circ J, 71 (3) (2007), pp. 363-366, 10.1253/circj.71.363
- D. Kinoshita, K. Suzuki, E. Usui,
- J.M. Lee, G. Choi, B.K. Koo, et al. Identification of high-risk plaques destined to cause acute coronary syndrome using coronary computed tomographic angiography and computational fluid dynamics JACC Cardiovasc Im aging, 12 (6) (2019), pp. 1032-1043, 10.1016/j.jcmg.2018.01.023
- G.K. Hansson Inflammation, atherosclerosis, and coronary artery disease N Engl J Med, 352 (16) (2005), pp. 1685-1695, 10.1056/NEJMra043430 Eur Radiol, 30 (2) (2020), pp. 673-681, 10.1007/s00330-019-06400-8
- S.-E. Lee, J.M. Sung, D. Andreini, et al.Differences in progression to obstructive lesions per high-risk plaque features and plaque volumes with CCTA JACC Cardiovasc Imaging, 13 (6) (2020), pp. 1409-1417,
- S.E. Lee, H.J. Chang, A. Rizvi, et al.Rationale and design of the Progression of Atherosclerotic Plaque DetermIned by Computed Tomographic Angiography Imaging (PARADIGM) registry: a comprehensive exploration of plaque progression and its impact on clinical outcomes from a multicenter serial coronary computed tomographic angiography study Am Heart J, 182 (2016), pp. 72-79, 10.1016/j.ahj.2016.09.003
- Progression of whole-heart atherosclerosis by coronary CT and major adverse cardiovascular events J Cardiovasc Comput Tomogr, 15 (4) (2021), pp. 322-330, 10.1016/j.jcct.2020.12.007
Dr. Ofelia Niță





