The role of ultrasound in the evaluation of twin pregnancy
În ultimii ani incidența sarcinilor multiple a cunoscut o creștere semnificativă la nivel mondial, în special din cauza creșterii vârstei materne la momentul concepției și a utilizării extinse a tehnicilor de reproducere umană asistată.1
Sarcinile gemelare sunt asociate cu un risc crescut de morbiditate și mortalitate perinatale, dar și de complicații materne precum hipertensiunea arterială indusă de sarcină. În anul 2019 rata raportată de deces intrauterin a fost de 7.6 la 1000 de nașteri gemelare comparativ cu 3.8 la 1000 de nașteri de feți unici.2 De asemenea, prematuritatea rămâne o problemă majoră în aceste cazuri deoarece până la 60% din feții proveniți din sarcini gemelare se nasc înainte de 37 de săptămâni. Gemenii au în general intrauterin o curbă de creștere mai lentă în trimestrul al treilea, rate mai mari de restricție de creștere intrauterină (RCIU) și greutate la naștere mai mică, în comparație cu sarcinile unice. În plus, riscul de anomalii congenitale (în special cardiovasculare) este semnificativ statistic mai ridicat în cazul gemenilor.3 Astfel, în aproximativ 1 din 30 sarcini dicoriale, 1 din 15 monocoriale și 1 din 4 sarcini monoamniotice există o anomalie congenitală majoră.
|
|
|
|
Examinarea ecografică prenatală joacă un rol esențial în cadrul protocolului de urmărire obstetricală a sarcinilor gemelare și ea are ca scopuri principale:4
• Datarea corectă a sarcinii (stabilirea vârstei gestaționale)
• Determinarea corionicității și a amnionicității
• Stabilirea ordinii gemenilor
• Monitorizarea obstetricală periodică
• Screeningul și diagnosticul prenatal al aneuploidiilor și al anomaliilor structurale
• Diagnosticul și managementul sarcinilor gemelare cu anomalii fetale discordante
• Screeningul riscului de naștere prematură
• Screeningul și diagnosticul RCIU
• Diagnosticul complicațiilor particulare ale sarcinilor monocorionice (sindromul transfuzor- transfuzat (TTTS), sindromul anemie- policitemie (TAPS), secvența twin-reversed arterial perfusion (TRAP)
• Diagnosticul gemenilor conjuncți (siamezi)
• Embrioreducția/ terminarea selectivă a cursului sarcinii
Astfel, datarea sarcinilor gemelare prin ecografie se bazează pe măsurarea lungimii cranio-caudale (CRL) a celui mai mare dintre feți și este ideal efectuată până la o vârstă gestațională de 13 săptămâni și 6 zile. După această perioadă datarea ecografică utilizează circumferința craniană a celui mai mare dintre gemeni.

Determinarea antenatală a corio-amnionicității este esențială deoarece sarcinile monocoriale sunt grevate de mai multe complicații comparativ cu cele dicoriale. Din cauza anastomozelor vasculare placentare aceste sarcini prezintă și o serie de complicații particulare (TTTS, TRAP, TAPS, moartea fetală a unui dintre feți sau injuria neurologică a fătului supraviețuitor). Sarcinile monoamniotice sunt încă și mai complicate din cauza înnodării aproape universal întâlnite a celor două cordoane ombilicale și a anastomozelor vasculare extinse ce se asociază cu un risc ridicat de imbalanță acută a fluxului de sânge între cei doi feți.5 În consecință, stabilirea corio-amnionicității este recomandat a fi efectuată înainte de 13 săptămâni și 6 zile de sarcină pentru a evalua numărul maselor placentare, inserția membranei ce separă sacii gestaționali la nivelul placentei (semnul lambda „plin” sau twin peak și semnul lambda „gol” sau T) și grosimea acesteia (Figura 1).
|
|
|
|
Ritmul consultațiilor prenatale în cazul sarcinilor gemelare diamniotice-dicoriale (DADC) necomplicate este, după efectuarea examinărilor ecografice de screening al anomaliilor fetale de trimestrul întâi și doi, la fiecare 4 săptămâni. Pentru sarcinile monocoriale evaluarea se face bilunar după 16 săptămâni de sarcină. Fiecare examinare trebuie să includă: biometria fetală, volumul de lichid amniotic și evaluarea Doppler fetală.
În prezent ghidurile recomandă ca vârsta gestațională optimă pentru naștere în cazul sarcinilor gemelare dicoriale să fie între 37 și 37 săptămâni și 6 zile, iar pentru sarcinile monocoriale necomplicate între 36 și 36 săptămâni și 6 zile, întrucât prelungirea cursului sarcinii peste acest moment se asociază cu o creștere a riscului de mortalitate perinatală.5
Screeningul pentru trisomia 21 în sarcinile gemelare trebuie să fie recomandat tuturor pacientelor în primul trimestru, iar testul cu cea mai ridicată acuratețe utilizează analiza ADN-ului fetal circulant liber (cf DNA) din sângele matern. În cazul sarcinilor cu sindromul ”geamănului dispărut” (care apare în 1 din 5 sarcini gemelare) se recomandă screeningul bazat pe măsurarea translucenței nucale, vârsta maternă și nivelul circulant de free B-HCG din sângele matern.6 În ceea ce privește diagnosticul genetic invaziv prenatal, biopsia de vilozități coriale este preferată pentru sarcinile dicoriale deoarece permite obținerea mai rapidă a unui rezultat și stabilirea precoce a unei conduite optime; pentru sarcinile monocoriale complicate cu anomalii fetale discordante se recomandă efectuarea amniocentezei cu puncția ambilor saci gestaționali.

Întrucât incidența anomaliilor fetale majore este semnificativ mai ridicată în sarcinile gemelare față de cele unice, screeningul ecografic în trimestrul al doilea (în jurul vârstei gestaționale de 20 de săptămâni) trebuie efectuat de către un examinator experimentat. Cel mai frecvent întâlnite malformații la gemeni sunt defectele de tub neural, de perete abdominal anterior, faciale și cerebrale, iar pentru sarcinile monocoriale anomaliile cardiace. De aceea, în cazul acestora din urmă ghidurile ISUOG recomandă standard efectuarea ecocardioografiei fetale.7,8 Beneficiul detectării anomaliilor fetale în trimestrul al doilea le oferă părinților posibilitatea de a avea un plan de naștere adecvat, de a investiga opțiunile de transfer către un centru specializat în gestionarea patologiei respective, dar și pe cele pentru terapie fetală intrauterină sau întreruperea terapeutică a cursului sarcinii pentru fătul afectat.
În cazul sarcinilor monocoriale există aproape întotdeauna anastomoze vasculare ce conectează circulațiile celor doi feți, iar angioarhitectura lor este cea care determină profilul de risc. Diagnosticul ecografic al sindromului transfuzor-transfuzat (TTTS) presupune discrepanța marcată a volumului de lichid amniotic: geamănul ”donor” prezintă oligohidramnios (MVP mai mic de 2 cm), iar cel ”receptor” polihidramnios (MVP peste 8 cm). Clasificarea Quintero rămâne de actualitate pentru a stabili severitatea TTTS și conduita terapeutică, cu toate că ea nu are predictibilitate foarte exactă asupra prognosticului și evoluției cronologice ale sindromului.
Diagnosticul ecografic al Twin anemia-polycythemia sequence (TAPS) se bazează pe prezența modificărilor Doppler la nivelul arterei cerebrale medii fetale (ACM) care sunt discordante între cei doi feți, în absența anomaliilor volumului lichidului amniotic. Incidența TAPS survenit spontan în sarcinile monocoriale este de 5%, dar poate complica 13% din acestea după o intervenție de ablație laser pentru TTTS.9 În plus, alte semne ecografice ce apar în peste 80% din cazuri includ: discrepanțe între ecogenitatea și grosimea placentei sau aspectul de ”cer înstelat” al ficatului fătului policitemic pe fondul scăderii ecogenității acestuia și a creșterii luminozității pereților venulelor portale. Postnatal, confirmarea diagnosticului presupune prezența anemiei cronice la nou-născutul donor și a policitemiei în cazul celui recipient.
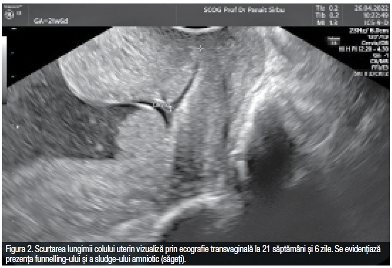
Examinarea ecografică este totodată un instrument foarte important și pentru evaluarea riscului de naștere prematură în sarcinile gemelare, prin măsurarea lungimii colului uterin (ideal prin examinare transvaginală), valoarea cut-off folosită cel mai frecvent fiind de 25 mm între 18 și 24 de săptămâni de sarcină. Atunci când lungimea colului este mai mică de 15 mm managementul trebuie să includă: cerclajul, antibiotice, tocoliză.10 (Figura 2)
Gemenii conjuncți sunt foarte rari, apărând în aproximativ 1 din 100.000 sarcini (1% din sarcinile monocoriale) și sunt întotdeauna sarcini MAMC. Astăzi, diagnosticul ecografic este stabilit precoce în primul trimestru prin vizualizarea apoziției fixe a corpurilor fetale. Clasificarea acestora depinde de localizarea anatomică a zonei de unire, cea mai frecventă variantă fiind gemenii toracopagi la care de obicei ficatul, inimile si structurilor intestinale sunt unite.11 Aceste sarcini trebuie să fie monitorizate în unități cu experiență, iar abordarea atât a planului de naștere, cât și a perioadei neonatale să se facă în echipe complexe, multidisciplinare.
|
|
|
|
![]() |
|
Bibliografie
1. Pison P, Monden C, Smits J. Twinning rates in developed countries: trends and explanations. Popul Dev Rev2015;41(4):629-49.
2. Draper ES, Gallimore ID, Kurinczuk JJ, Kenyon S, MBRRACE-UK. MBRRACE-UK 2019 Perinatal Confidential Enquiry: Stillbirths and Neonatal Deaths in Twin Pregnancies. The Infant Mortality and Morbidity Studies, Department of Health Sciences 2021.
3. Boyle BB, Helen D, McConkey R. The epidemiology of congenital anomalies in multiple births: a European registry based study. Pediatr Res 2011;70(5): 408.
4. Khalil, A., Sotiriadis, A., Baschat, A., Bhide, A., Gratacós, E., Hecher, K., Lewi, L., Salomon, L.J., Thilaganathan, B. and Ville, Y. (2025), ISUOG Practice Guidelines (updated): role of ultrasound in twin pregnancy. Ultrasound Obstet Gynecol, 65: 253-276. https://doi.org/10.1002/uog.29166
5. Cheong-See F, Schuit E, Arroyo-Manzano D, et al. Prospective risk of stillbirth and neonatal complications in twin pregnancies: systematic review and meta-analysis. BMJ. 2016; 354:i4353.
6. Sebire Nj, Souka A, SkentouH, Geerts L, Nicolaides KH. First trimester diagnosis of monoamniotic twin pregnancies. Ultrasound Obstet Gynecol 2000;16:223-5.
7. Manning N, Archer N. A study to determine the incidence of structural congenital heart disease in monochorionic twins. Prenat Diagn. 2006; 26(11): 1062-1064.
8. Herskind AM, Almind Pedersen D, Christensen K. Increased prevalence of congenital heart defects in monozygotic and dizygotic twins. Circulation. 2013; 128(11): 1182-1188.
9. Robyr R, Lewi L, Salomon LJ, et al. Prevalence and management of late fetal complications following successful selective laser coagulation of chorionic plate anastomoses in twin-to-twin transfusion syndrome. Am J Obstet Gynecol. 2006; 194(3): 796-803.
10. Li C, Shen J, Hua K. Cerclage for women with twin pregnancies: a systematic review and metaanalysis. Am J Obstet Gynecol. 2019; 220(6): 543-557.e1.
11. Baken L, Rousian M, Kompanje EJO, et al. Diagnostic techniques and criteria for first-trimester conjoined twin documentation: a review of the literature illustrated by three recent cases. Obstet Gynecol Surv. 2013; 68(11): 743-752.
Dr. Călina Maier













